El veneno de los escorpiones del género Tityus, el único de importancia médica en el país, se caracteriza por poseer una gran actividad neurotóxica y por desencadenar dos tipos de reacciones, una local mediada por la liberación de serotonina o 5-hidroxitriptamina, la cual se manifiesta clínicamente por dolor local, eritema y habones; al igual que una reacción de tipo sistémico, caracterizada por alteraciones en tres diferentes niveles:
- Sistema nervioso vegetativo (Simpático-parasimpático)
- Acción directa sobre células excitables (músculo liso y estriado) y acción sobre la bomba sodio-potasio, impidiendo la repolarización
- Sistema hematológico, con desfibrinación, aumento del factor X e interferencia con la acción de la trombina
El aumento de la presión arterial que se observa en la mayoría de los afectados está relacionada con un incremento en la liberación de las catecolaminas por el sistema nervioso simpático,glándulas adrenales y los terminales nerviosos postganglionares. Las catecolaminas actúan sobre los receptores alfa adrenérgicos provocando un aumento de la resistencia vascular periférica y al mismo tiempo, actúan sobre los receptores beta adrenérgicos incrementando la contráctilidad miocárdica y estimulando la liberación de renina desde los riñones.
El desarrollo de falla cardíaca puede ser explicada en parte por un efecto directo sobre el miocardio, al igual que por la disminución aguda y súbita de la "compliance" del ventrículo izquierdo debido a la acción de las catecolaminas liberadas, con el consiguiente deterioro severo de la capacidad de llenado diastólico; todo esto aunado al incremento agudo de la presión sanguínea sistólica y impedancia, con el subsecuente deterioro de la capacidad de vaciamiento del ventrículo izquierdo, además de la ocurrencia de bradiarritmias o taquiarritmias, en especial la taquicardia sinusal severa.
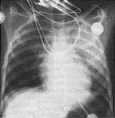
El edema pulmonar agudo ha sido explicado durante los últimos 20 años como el resultado de un aumento de la permeabilidad vascular pulmonar ocasionada por la acción de sustancias vasoactivas liberadas por el veneno y/o por la hipertensión arterial aguda de naturaleza adrenérgica que puede inducir fal la ventricular izquierda. Pero en los últimos 4 años se han publicado casos clínicos de pacientes que han desarrollado edema agudo de pulmón sin haber tenido complicaciones cardiacas. Lo que ha llevado a pensar que existe otro mecanismo de acción del anteriormente propuesto. En los últimos años investigadores\Brasileños y Venezolanos han demostrado que el edema pulmonar por escorpionismo ocurre por una vía indirecta. Este edema puede ser prevenido con heparina en animales experimentales. Investigaciones recientes realizadas en Venezuela (D 'Suze et al 1998, Toxicon) han sugerido la presencia de un síndrome de dificultad respiratoria por escorpionismo, el cual puede ser prevenido con heparina ya que envuelve a la cascada de coagulación sanguínea.
EDEMA AGUDO DE PULMON POR ESCORPIONISMO ¿UNA NUEVA ENTIDAD CLINICA?.
Un síndrome similar al SHOCK con hipotensión, es comunmente reconocido en los afectados por el emponzoñamiento escorpionico severo. Varios mecanismos han sido propuestos para explicar este fenómeno:
- Un efecto colinérgico inhibitorio del veneno
- A un síndrome de depresión de catecolaminas o "Shock adrenalínico"
- A un efecto vasodilatador exagerado de los receptores beta 2 de los vasos sanguíneos periféricos por las catecolaminas circulantes
La pancreatitis, de tipo transitorio (24-72 horas como promedio), es debida a la acción de la acetilcolina liberada por las fibras nerviosas postganglionares sobre los receptores muscarínicos. Los hallazgos ecosonográficos la identifican como una pancreatitis de tipo edematosa.